Unlocking Pear Genetics: New Insights for Breeding Resilient Varieties

Research from a collaborative team involving Shandong Agricultural University, Nanjing Agricultural University, and the Zhongshan Biological Breeding Laboratory has shed light on the genetic variations in pears, one of the world’s oldest domesticated fruit trees. The study, published in Horticulture Research in May 2025, emphasizes the importance of understanding genetic mutations for enhancing breeding and selection processes.

Pears have adapted to diverse climatic conditions through extensive genetic modifications. While much research has focused on annual crops, the patterns of genetic mutations in perennial fruit trees like pears remain less understood. This newly published study aims to bridge that gap, revealing critical insights into domestication and potential paths for breeding more resilient and high-quality pear varieties.

The research team analyzed over 9 million SNPs (single nucleotide polymorphisms) across 232 pear accessions, encompassing various wild and cultivated varieties. They identified 9,909,773 SNPs in total, with 139,335 classified as deleterious mutations. These mutations were predominantly found in coding regions and exhibited a higher frequency in Pyrus communis, the European pear, compared to other species.

Key Findings on Genetic Mutations

The study uncovered notable trends in the distribution of deleterious mutations. In species such as Pyrus pyrifolia and Pyrus bretschneideri, selective sweeps during domestication resulted in a reduction of harmful mutations. Conversely, in Pyrus communis, there was an observed increase in these mutations, potentially due to genetic drift during the domestication process.

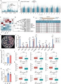
A significant highlight of this research is the identification of the PyMYC2 gene, which plays a crucial role in stone cell formation and lignin biosynthesis in pears. Overexpressing this gene in pear callus cultures led to increased lignin and stone cell content, marking it as a potential target for future breeding efforts aimed at improving pear texture.

Professor Jun Wu from Nanjing Agricultural University commented on the implications of the findings: “This research provides valuable genomic insights into pear domestication, particularly in understanding how deleterious mutations shape agronomic traits. The identification of PyMYC2 as a regulator of stone cell content is a breakthrough that could significantly inform future breeding strategies.”

Implications for Future Pear Breeding

The discovery of deleterious mutations and their relationship to agronomic traits is pivotal for breeding programs. By focusing on genes such as PyMYC2, breeders can develop new pear varieties with optimized characteristics, including enhanced texture and improved disease resistance. The findings underscore the potential of modern molecular breeding techniques, such as genome-wide selection, to minimize harmful mutations in cultivated varieties.

These advancements are particularly relevant given the increasing global demand for high-quality pears and the pressing need to enhance crop resilience in the face of climate change. The ongoing research not only enriches our understanding of the genetic evolution of pears but also paves the way for innovative breeding strategies that could lead to healthier and more productive pear crops.

Funding for this research was provided by several sources, including the National Science Foundation of China and the National Key Research and Development Program of China. The insights gained from this extensive study are crucial for the future of pear cultivation and the global fruit market.